【記者張德欽、張珊瑜、張祐瑄、張耿慈、黃園淋/中市報導】為進一步提升教師法律素養,保障學生權益,並打造更安全的校園環境,台中市政府法制局、台灣高等法院台中分院及台中市政府教育局共同舉辦「113年台中地區高中以下教師法律研習營」,7月8日在台灣高等法院台中分院圓滿完成。法制局表示,此次活動凝聚眾多教育工作者的熱忱與關愛,內容豐富,意義深遠。...
國姓咖啡節7月13日登場 3千好禮大放送
【記者張德欽、張珊瑜、江萬昌、林昌永/南投報導】2024南投國姓咖啡節「仲夏跑咖•啡嚐不可」活動將於7月13日起連續2天,在橋聳雲天綠雕園區隆重登場,縣府農業處長蘇瑞祥、國姓鄉長邱美玲熱情邀請全國民眾來品嚐選購「國姓精品咖啡」,還有機會把大獎及限定紀念品帶回家,機會難得,請勿錯過。...
北屯交通建設再進化!舊社公園地下停車場啟用 盧秀燕市長宣布好禮9月7日前停車免費
【記者張德欽、張珊瑜、張祐瑄、張耿慈、趙宏進/中市報導】台中市政府交通局打造舊社公園地下停車場,優化北屯區停車需求,7月8日舉行啟用典禮。市長盧秀燕出席表示,舊社停車場興建總經費逾2.2億元,其中地方經費近1.6億元、中央補助6,307萬元,完工後可讓在地民眾就近停車,並完善捷運綠線松竹站與台鐵松竹車站的停車空間;她更宣布,即日起至9月7日停車免費,「送給市民優惠好禮」!...
勿以網路或其他無法辨識購買者年齡方式販售酒品以免遭罰
【記者張德欽、張珊瑜、張祐瑄、張耿慈/南投報導】網路購物方式日漸盛行,民眾利用網路買賣物品,取代傳統購物方式,省時便捷。但依據菸酒管理法第30條第1項規定,酒之販賣,不得以自動販賣機、郵購、電子購物或其他無法辨識購買者年齡等方式為之。違反規定者,依同法第55條規定,處新臺幣1萬元以上5萬元以下罰鍰。又依同法第37條規定,酒之廣告或促銷,應明顯標示「禁止酒駕」,並應標示「飲酒過量,有害健康」或其他警語。凡是利用電視、報紙、雜誌、傳單、海報、招牌等或在網路上刊載僅有酒品名稱、圖樣、價格或提供網路訂購、電話、傳真、郵件信箱等足資聯繫之資料都...
2024奏夏The One:在玻璃媽祖廟的鼓聲傳奇
【記者張德欽、吳三伯、温玉沛/彰化報導】2024年夏天台灣的文化藝術界迎來了一個備受矚目的盛事——「2024奏夏The One」環島巡迴演出。這次演出的亮點之一是來自瑞芳的「心鼓坊」團隊,他們將以獨特的鼓藝演繹瑞芳的歷史與人文,並且這一切完全由國中生自主完成。其中,最具特色的演出場地之一就是位於彰化縣的台灣玻璃廟,7月8日在此地的演出更是由台灣玻璃媽祖廟的林肇睢董事長親自接待。...
彰化縣成功推廣企業進用 打造視障按摩師就業新契機
【記者張德欽、吳三伯、温玉沛/彰化報導】彰化縣政府為促進企業聘用視障按摩師,特別將視障按摩巡迴服務擴展至企業,並與裕源紡織股份有限公司合作,運用結合員工福利措施的型態提供視障按摩體驗服務。不僅讓員工享受身心靈的放鬆,也提高對視障按摩的興趣與認識。透過「本府視障按摩巡迴宣導暨企業進用推廣計畫」,裕源紡織股份有限公司於本年7月正式聘用一位視障按摩師,成為本縣第四家企業進用視障按摩師的聯盟成員之一,展現該公司對企業社會責任的重視及對身心障礙者就業的支持。...
彰化搶先防護!鼓勵全台民眾有效防範登革熱疫情
【記者張德欽、吳三伯、温玉沛/彰化報導】彰化縣於7月8日上午在田尾公路花園-合利園藝舉行「預防登革熱 你我齊協力 清除孳生源 守護好家園」記者會。彰化縣長王惠美、民代、縣府局處及衛生局葉彥伯局長與田尾在地園藝業者共同參與,王縣長表示,田尾鄉是花的故鄉,去年經大數據分析有855萬人次遊客到訪田尾鄉,這次,透過宣導記者會,與民代及在地園藝業者一起提醒大家,落實遵循「巡、倒、清、刷」防蚊四步驟,預防登革熱,你我齊協力,從居家周圍落實環境清潔一起防治登革熱。...
巡視113年高普考彰化考區
【記者張德欽、吳三伯、温玉沛/彰化報導】113年公務人員高等考試三級考試暨普通考試自7月5日起一連五天在國立彰化師範大學及國立彰化師大附工舉行,彰化縣政府秘書長陳逸玲8日上午與典試委員楊雅惠等人,前往彰化區試場關心考生應考情形及需求,並至試務中心慰問試務人員辛勞。...
大學SDGs半日遊 歡迎報名體驗
【記者張德欽、吳三伯、温玉沛/彰化報導】大葉大學SDGs校園實踐場域體驗活動報名起跑,歡迎大朋友、小朋友一起走進大自然,體驗環境教育、學習永續知識。...
大葉大學藥保系攜手豐崙國小 夏日樂學營隊做中學
【記者張德欽、吳三伯、温玉沛/彰化報導】大葉大學藥用植物與食品保健學系連續六年攜手豐崙國小,暑假共同舉辦夏日樂學營隊活動,今年的營隊從7月1日至12日為期兩週,以食品安全教育結合聯合國永續發展目標SDGs,帶領國小學生運用在地農作食材,透過食材加工探索世界,學習國際點心與料理製作。...
2024雲林閱讀盛宴揭幕 文化傳承新舊共讀-嬰幼兒閱讀推廣暨雲林文學之美巡迴展 張麗善縣長盼培養閱讀興趣 欣賞雲林文學之美
【記者張德欽、張珊瑜、王德寬、許麗秀、林荐丞/雲林報導】推廣閱讀,讓閱讀成為雲林的日常!雲林縣政府文化觀光處7月8日上午舉辦「2024嬰幼兒閱讀推廣暨雲林文學之美巡迴展」記者會,張麗善縣長、謝淑亞副縣長、縣政總顧問張清良、文化觀光處陳璧君處長及雲林知名資深作家古蒙仁、履彊、綠蒂、縣議員賴淑娞、顏忠義議員秘書顏婉儒、曾博鴻議員夫人何佩褕、豐泰文教基金會林金陽董事長及雲林縣不動產開發商業同業公會許敏義監事等嘉賓親臨共襄盛舉;雲林縣婦幼非營利幼兒園的幼童朗誦雲林作家林沈默台語詩<唱生日>,與張縣長、資深作家們同台「唸詩」,象徵大...
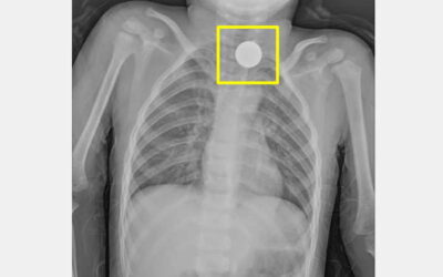
3歲幼童吞入硬幣 仁愛醫師聯手解除危機
【記者趙宏進/中市報導】一位3歲小男孩因為疑似吞入異物,家屬緊急送到仁愛長庚聯盟醫院急診,江鴻逸醫師照胸部X光顯示在食道處有一個環狀扁平異物,立即會診小兒科曾文禹醫師,緊急全身麻醉腸胃鏡異物夾取術,前後歷經2小時順利取出一元硬幣,讓家長放下心中大石。 江鴻逸表示,吞入異物通常是偶發事件,請家長要特別注意學齡前兒童的安全,尤其孩童一拿到東西可能就會往嘴巴裡塞,這時就會發生意外。一般來說,包括:硬幣、鈕扣、藥物或是電池等物品,都很有可能會被孩童吞入。...
雲林縣書法學會113年會員暨邀請名家聯展及李郁周書法縱橫談 深受讚美
【記者張德欽、張珊瑜、王德寬、許麗秀、林荐丞/雲林報導】雲林縣書法學會舉辦「雲林縣書法學會113年會員暨邀請名家聯展」,自113年7月4日(四)~7月14日(日)於文化觀光處展覽館2樓展出,並於今7月7日星期日上午9時15分盛大開幕,上午10時舉辦書法專業座談邀請該會顧問台藝大客座教授李郁周雲林人「書法縱橫談」,吸引很多雲林鄉親及各藝文愛好者蒞臨聽講,報到簽名用毛筆且致贈一本精緻聯展專刊,該會理事長鄭憲繁致詞表示感謝與會貴賓之蒞臨蒞臨,「雲林縣書法學會」由雲林縣知名書法家阮威旭老師帶領縣內愛好書法創作者創組,感謝故鄉人李郁周當時之鼓勵...
「雲林良品平安箱」搶攻普度品市場 雲林縣長張麗善優質農產品慶讚中元 善必循環
【記者張德欽、張珊瑜、王德寬、許麗秀、林荐丞/雲林報導】雲林縣政府、雲林縣農會攜手推出「雲林良品平安箱」,搶攻中元普度祈福市場。縣長張麗善表示,農曆7月是感恩月,家家戶戶都準備豐盛福品祭拜普度公、好兄弟,縣府與農會合作集結縣內優質農特產品、雲林良品,葷素都有,滿足縣民普度祈福需求,歡迎民眾向縣農會訂購平安箱,或上雲林良品中元必「 BUY」專區選購。...
暑假泰繽紛 新媳婦協會邀民眾一起玩水放輕鬆
【記者張德欽、張珊瑜、張祐瑄、張耿慈/南投報導】社團法人南投縣新媳婦關懷協會第二次辦理潑水節活動,今年因4月逢梅雨季,原潑水節活動4月延至暑假進行,7月7日活動當場進行浴佛儀式體驗及潑水活動,主要讓參加的民眾體驗緬泰文化傳統,代表洗淨一年的塵垢,祈求來年諸事順利如意;還結合南投縣家庭暴力暨性侵害防治中心宣講員進行反暴力宣導活動、以及內政部移民署中區事務大隊南投縣服務站進行新住民法令宣導、南投縣新住民家庭服務中心進行新住民中心服務宣導以及聯繫方式交流,南投縣家庭教育中心也帶來闖關遊戲讓家庭教育中心服務項目讓民眾更加了解,南投縣身心障礙者...














