
衛生福利部南投醫院直腸外科廖師賢主任指出,糞性結腸炎(Stercoral Perforation of the Colon)是由於長期便秘導致糞便堆積在腸道中,糞便變得又乾又硬,這些糞便物質聚積,增加腸道的壓力且導致發炎,並可能會損害消化道內血管的供應,導致缺血性結腸炎、潰瘍甚至穿孔,若腸子破裂後糞便外漏汙染了腹膜腔,則可能併發敗血症,有危及生命的風險。
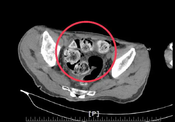
廖師賢主任表示這位病人長期有慢性便秘的問題,也曾因為腸阻塞而住院治療過,這次因為下腹疼痛難受而就醫,透過電腦斷層檢查診斷為糞性結腸炎合併結腸穿孔。經緊急安排手術介入,將破裂的腸道切除、清理腹腔、裝置腸造口並取出許多硬如石頭的糞便,病人住院期間接受專業的醫療處置及照護,恢復良好,已康復出院。
部分患者因為糞便的水分被過度吸收,堵在腸道中,大不出來,導致排便時僅解出一些糞水,誤以為這是拉肚子而自行服用止瀉藥,使得便秘情況更加嚴重的惡性循環。廖師賢主任提醒當排便習慣改變,可找醫師諮詢,並建議民眾應均衡飲食、每日攝取充足的水分及膳食纖維,規律運動、維持正常生活作息,養成固定排便的習慣。若出現慢性便秘(每周排便不到三次且症狀超過三個月)不要擅自服用瀉藥,應就醫向專業人員尋求協助。
圖文:長期便秘別輕忽 男三週沒拉屎竟把腸子撐破。
長期便秘別輕忽 男三週沒拉屎竟把腸子撐破


