
澄清醫院中港院區放射腫瘤科梁家郡醫師描述這位老台商,很多年以來就有解尿不順和頻尿的老毛病,自認為是人老的現象,能忍就忍。
直到八年前,患者因在越南公司半夜起床解尿後回房睡覺,不知不覺發現內褲濕了一片,自知是殘尿浸溼,而返台到泌尿科求診,診斷為攝護腺肥大,也發現癌症指數偏高,建議做攝護腺切片化驗,卻因工作繁忙而回去越南。
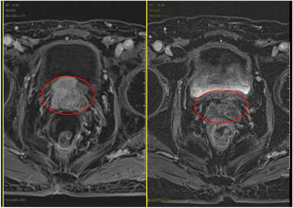
八年後,老台商解尿困難更加嚴重,到澄清醫院接受攝護腺切片化驗,診斷為攝護腺癌,癌症指數竟高達33.667(正常是小於4),再經核磁共振撿查,發現他的攝護腺癌為2.2公分×1.6公分,已穿透攝護腺表膜並侵犯上方的膀胱,決定接受抗賀爾蒙治療和快活光子刀放射線治療。
梁家郡醫師表示,患者每週五次,進行42次快活光子刀治療,完成療程後持續追蹤檢查,今年七月的核磁共振撿查結果,正式向老台商賀喜,他的攝護腺癌已完全消失不見,原本被穿透的攝護腺也完整恢復,癌症指數已降到0.025,幾乎驗不到癌細胞存在。
梁家郡指出,攝護腺癌的治療方法有開刀切除癌腫瘤和放射線治療。開刀切除癌腫瘤通常都會將攝護腺一併切除,有可能還得包尿布幾週防止暫時性尿失禁,而放射線治療治療的副作用,僅會出現患者的疲倦感,因為精準治療不會傷及鄰近器官,每天一次的光子刀治療,老台商都坐公車往返醫院和住家。
梁醫師說,這些年來,在他的門診已超過75位接受光子刀治療攝護腺癌的患者中,有高達95%以上攝護腺癌完全消失,五年的存活率達100%,有可能因攝護腺癌對放射線的敏感度高,其治療的效果也相對高。
攝護腺癌的初期症狀與攝護腺肥大症狀很類似,包括夜尿、頻尿、解尿不乾淨、用力解尿等,攝護腺癌已成為男性國人常見的癌症,好發於60歲以上的年長者。
梁家郡強調,在台灣臨床上發現有約30%的攝護腺癌患者確診時已經是第四期,癌細胞通常已轉移到骨骼等地方,因而延誤治療的黃金時機。
圖一:澄清醫院梁家郡醫師說,接受光子刀治療攝護腺癌的患者中,有高達95%以上攝護腺癌完全消失,五年的存活率達100%。
圖二:越南老台商治療前後圖(左圖紅圈腫瘤位置、右圖治療後腫瘤消失。


