
廖啓耀說,月經性氣胸與女性的月經週期有關,特徵是每當月經期間,即出現反覆性的氣胸症狀,包括:突發性胸痛、胸悶、呼吸困難及咳嗽等。這些症狀與其他類型的氣胸相似,因此在診斷上需要謹慎排除其他原因。問診時需留意部分病人可能伴隨的其他內科或婦科症狀,如腹痛、月經異常等。
廖啓耀醫師表示,月經性氣胸與子宮內膜異位症有密切關聯。子宮內膜異位症是指子宮內膜組織生長於子宮腔外,包括可能在胸腔、腹腔等部位生長。當內膜異位組織受到月經激素分泌的刺激時,這些異位組織可能會出血,進而引起胸腔內的氣體泄漏或肺組織受損,導致氣胸的發作。
月經性氣胸多見於年輕女性,首先應由胸部X光或電腦斷層(CT)掃描確定是否存在氣胸,接下來是詢問病史,尤其是了解氣胸發作與月經週期的關聯,最後綜合詳細的臨床評估、影像學檢查和病理學檢查結果,才能確診是否罹患月經性氣胸。
月經性氣胸的治療策略為:一、氣胸的緊急處理:若氣胸較為嚴重或出現呼吸衰竭的情況,病人可能需要緊急胸腔引流治療。二、荷爾蒙治療:由於月經性氣胸與月經週期有關,荷爾蒙治療有助於控制內膜異位症的發作,進而減少氣胸的發生率。三、手術治療:對於反覆發作或荷爾蒙治療無效的病人,應對其進行胸腔鏡手術去除異位組織或進行肺部修復。
廖啓耀強調,如果罹患月經性氣胸沒有及時診斷或治療,可能會導致反覆的氣胸發作,影響生活品質。月經性氣胸的預後與治療反應密切相關,大部分病人接受適當的治療後,病情可以得到良好的控制,建議應該把握治療時機,恢復健康的生活。
圖一:廖啓耀醫師指出,微創胸腔鏡手術移除病人的異常組織。
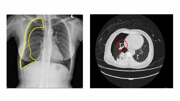
圖二:【左圖】胸部X光顯示右側氣胸(黃線範圍區);【右圖】電腦斷層顯示肺部異常組織(紅圈處)。


