
澄清醫院中港院區胃腸肝膽科主治醫師李政祺表示,這種非典型腸胃炎,通常是有過敏體質的人,接觸到特定的過敏原,使血液白血球中的嗜酸性球浸潤到腸胃黏膜,導致腸胃發炎,如未能對症治療,容易會反覆發作。
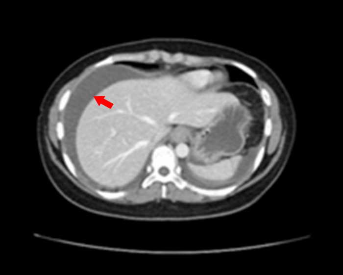
李政祺表示,該患者白血球很高,卻無發燒現象,應該不是典型的腸胃炎,有明顯腹水所以抽出約800CC腹水並做化驗,發現嗜酸性白血球高達76%,經胃鏡取胃黏膜做切片檢驗,胃黏膜的嗜酸性球異常增加。
他說,人體白血球以嗜中性球和淋巴球占絕大多數,還有極少比例的嗜酸性球和嗜鹼性球,嗜酸性球過高又有腸胃發炎現象,排除其他原因後,確診為少見的「嗜酸性腸胃炎」。
李醫師說,該患者做了過敏原檢查,發現對塵螨的過敏程度較高,可以勾勒出她罹患嗜酸性腸胃炎的路徑,該患者的過敏體質接觸到獨特的過敏原後,會將白血球中的嗜酸性球吸引到腸胃黏膜,導致患者小腸壁變厚、胃部發炎,也出現腹水,表現的症狀與一般腸胃炎相似,如腹脹、腹痛、嘔吐、腹瀉情形。
李政祺指出,臨床醫學統計,在美國罹患嗜酸性腸胃炎的比率約十萬分之二十二,台灣的罹病率不高約十萬分之六點三,算是少見的疾病,如果未能確診而當成一般腸胃炎治療,其復發比率頗高。
該患者接受類固醇藥物治療後,腹水已消去,腹脹、腹痛、嘔吐、腹瀉等症狀痊癒。
不過,李政祺醫師特別叮嚀該患者,一定要完整服用藥物療程,不能因症狀改善就自行停用藥物,否則仍有復發的可能,同時也請患者定期清洗床包被單,杜絕過敏原塵螨滋生,以免再引發嗜酸性腸胃炎。
圖一:中港澄清醫院李政祺醫師收治一位患者腹痛上吐下瀉,診斷為罕見”嗜酸性腸胃炎” 竟是塵螨惹禍。
圖二:患者腹部電腦斷層(箭頭處是積水) 。


