頭版新聞

專題報導

智慧分享

宗教藝文

人物專訪

健康養生

溫馨關懷

生活娛樂

房產理財

綜合新聞

記者群

阿嬤吃藥不慎連鋁箔包裝一起吞下 卡食道就醫透過胃鏡取出

2024-09-09 | 健康養生, 生活娛樂, 綜合新聞

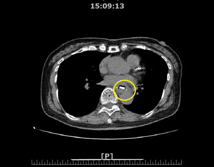
【記者張德欽、張珊瑜、張文煌、林慶文/南投報導】有部分民眾為了分裝方便,會使用剪刀將排裝的藥丸剪成一個一個小方塊的形狀,但這樣其實會增加誤食的風險。南投一名84歲蔡阿嬤日前在吞藥時,就不小心把藥丸連同其鋁箔包裝一起吞下肚,結果食道被尖銳鋁箔片哽住,造成食道潰瘍。所幸透過內視鏡順利取出異物,治療後恢復情況良好。醫師提醒誤食尖銳物可能會造成食道發炎穿孔甚至是腸穿孔的危險,建議若不慎吞入異物,喝水後仍異物感明顯未達緩解,則建議就醫接受檢查治療。
84歲蔡阿嬤在家人陪同下,至衛生福利部南投醫院洪弘昌院長的肝膽腸胃科門診就診,阿嬤向院長表示自己的喉嚨痛了一個禮拜,且總是卡卡的,有明顯異物感。洪弘昌院長細心問診下,得知阿嬤有使用剪刀切割藥物的習慣,因為藥品的包裝材質較硬,被切割後邊緣較鋒利,懷疑老人家不慎連同包裝誤食而卡住。透過內視鏡檢查發現藥丸的鋁箔片包裝就卡在食道上,安排住院以胃鏡取出異物並且藥物治療,治療食道潰瘍及預防感染。
肝膽腸胃科黃耀光醫師表示,民眾常見誤食的異物有魚刺、雞骨頭或假牙,大部分的異物會自然排出,但少部分尺寸較大或較尖銳的異物可能會導致食道黏膜受傷甚至穿孔。穿孔可能引發縱膈腔炎或造成食道-氣管廔管或刺穿主動脈形成主動脈-食道廔管,未即時處置可能會有生命危險。黃耀光醫師表示,所幸這名患者誤吞的異物僅造成食道黏膜受傷,尚未造成穿孔等嚴重併發症。
有些民眾因為分裝方便,會將藥片連同鋁箔包裝剪成一個一個的大小,不過若長輩視力較不好,吞藥當下不專心,一時沒察覺,就可能會不小心將藥物及鋁箔包裝一併吞入。為了保障用藥安全性,高齡者或年幼孩子仍建議由身邊的親友多加關心與協助。
圖文:阿嬤吃藥不慎連鋁箔包裝一起吞下 卡食道就醫透過胃鏡取出。