【記者趙宏進/中市報導】長期罹患糖尿病者,會使胰臟癌風險增加約2倍!平等澄清醫院表示,保持良好的血糖控制至關重要,不僅有助降低罹患胰臟癌風險,也能在罹患胰臟癌時,減輕併發症並提高存活率。
平等澄清醫院內分泌科林幸宜主任表示,糖尿病是胰臟癌已知的危險因素之一,尤其新發糖尿病也可能是胰臟癌的早期表現。
這位病患於5年前接受健康檢查時發現糖尿病,糖尿病確診後便積極控制血糖,糖化血色素一直維持在6.0%至6.5%之間。近日回診追蹤時糖化血色素高達9.0%,患者主訴一個多月來,持續腹部悶痛,並伴隨明顯的腹部飽脹感,進食量減少,但並未有明顯的體重減輕、嘔吐、腹瀉與血便的症狀。
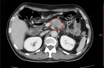
林幸宜主任表示,因患者有膽囊結石病史和飲酒習慣,便安排腹部超音波檢查,報告顯示有膽囊結石,但並未造成膽囊發炎,而抽血檢查結果顯示CA19-9 (檢測胰臟癌等腫瘤標記)數值高達718.92 u/ml(正常值通常小於37 u/ml),再經腹部電腦斷層檢查,發現胰臟體部有一團約3.5公分大腫瘤,診斷是胰臟癌。
患者接受手術治療後,糖尿病由口服降血糖藥物治療轉換為胰島素〕治療,3個月後追蹤糖化血色素回復至6.3%,目前狀況穩定。
林幸宜主任指出,由於胰臟癌早期症狀不明顯,缺乏特異性的表現和敏感的診斷指標,早期診斷極為困難,治療效果亦不佳,預後較差。一年存活率為24%,而5年存活率約5%。
胰臟癌發生原因迄今仍然不明,一般認為與多種因素並長期共同作用的結果。根據臨床與流行病學資料調查分析,可能與吸煙、飲酒、高脂低纖飲食、內分泌代謝因素以及遺傳基因有關。
據臨床醫學統計,超過5年的長期糖尿病,會使胰臟癌風險增加約2倍;而約3-4成的胰臟癌患者,在確診前兩年內會突然確診糖尿病,稱為胰源性糖尿病。
林幸宜主任表示,胰臟腫瘤因位置深,常受腸胃道氣體阻擋,在腹部超音波常有盲點,結合電腦斷層或核磁共振可以幫助確診,若能提高警覺進行檢查,往往是發現早期胰臟癌的關鍵點,早期診斷就能早期治癒。
圖:患者經腹部電腦斷層檢查,發現胰臟體部有一團約3.5公分大腫瘤(紅圈),診斷是胰臟癌。(澄清醫院提供)

