
楊琳敏醫師日前收治一名75歲自床上跌落之男性患者,出現右下肢活動疼痛與行走困難,到院後主訴為膝關節疼痛,經膝關節影像檢查後未發現異狀,但患者仍無法行走且疼痛加劇。
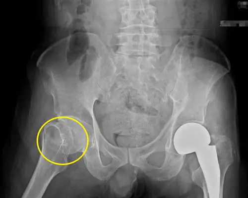
楊醫師檢查發現患者右側髖部出現腫脹,伴隨明顯壓痛,即再安排骨盆X光檢查,發現患者之右側股骨頸骨折,立即安排人工髖關節置換手術,患者術後進行復健治療,已恢復行走能力。
股骨頸骨折可能因神經牽涉痛,讓病患感覺疼痛集中在膝關節,導致真正傷勢被忽略,此情形非僅發生在老人,任何年齡皆可能出現,但老人因痛覺定位較不明確,更容易發生誤判。楊琳敏醫師指出,所以即使主要疼痛表現在膝關節,也應進一步檢查髖部,以免影響後續治療。
楊琳敏醫師表示,高齡患者跌倒後,因股骨頸是整根骨頭最細、最脆弱的地方,導致股骨頸容易受傷害,即使主要疼痛表現在膝關節,也不可掉以輕心。
股骨頸骨折因神經傳導與疼痛轉移的關係,常出現疼痛位置與實際骨折部位不一致的「非典型表現」,若僅針對膝關節檢查,恐延誤診斷與治療時機。
高齡者跌倒是導致股骨頸骨折最常見的原因之一,尤其失智症、巴金森氏症或行動功能退化者,更屬高風險族群。
楊醫師提醒,長者跌倒後,若出現膝部或髖部疼痛、行走困難、活動受限,甚至不願下床,即使外觀無明顯變形,也應儘早就醫,並同步評估髖部與骨盆狀況。
楊醫師也呼籲,及早診斷與治療不僅能降低長期臥床、肺炎、血栓等併發症風險,更有助於恢復行動能力與提升生活品質。
圖一:股骨頸骨折病兆處(圈圈處)。
圖二:骨科楊琳敏醫師。


