
小方因為洗澡的時候摸到乳房有一個腫塊,加上家族裡媽媽跟阿姨們都有乳癌的病史,讓她非常擔心,仁愛長庚醫院乳房外科何蕙余主任系列檢查確診乳癌,建議接受化學治療。
年紀輕輕還沒結婚的小方,很喜歡小孩,未來也希望能夠擁有自己的小孩,擔心化學治療影響未來生育功能,於是何主任將她轉介至生殖醫學中心林佳昀主任門診做生育保存的評估。
林主任評估小方的卵巢存量數值(AMH)不錯,為了不耽誤後續化療治療的黃金時間,決定採取隨機開始療程「Random start」,經兩週的療程後,進行取卵手術,最終取得20幾顆成熟卵子冷凍保存,讓小方未來完成化療後還保有生育小孩的希望。
何蕙余主任表示,台灣的年輕乳癌的患者40 歲以下占16.6 %,且乳癌患者治療過後的預後大多良好,卻因為化療或放療損害卵巢功能,導致治療完後不孕,育齡年紀的癌症病人如何保有生兒育女的希望,是現今癌症治療越來越受到重視的議題。
林佳昀主任表示,針對癌症生育保存有許多的方式,但是凍卵或是凍胚胎是目前最有效,也是針對高毒性化療藥物最有希望可以保存患者生育力的方式,研究顯示凍卵療程不會影響後續治療。
林佳昀主任說,傳統試管療程需伴隨月經週期開始,且費用不貲,針對需搶時間治療的癌症患者很多都會卻步,隨著醫學進步目前發展出隨機開始療程「Random start」,可隨時開始療程,不耽誤病人黃金治療時間,替病人搶時間保存一線「生機」。
衛福部國健署在2025年9月開始推出醫療性生育保存補助實施辦法,在特定的醫療院所接受癌症診斷與生育保存治療後可以申請補助,讓年輕的癌友能安心抗癌,完成治療後也能重新擁抱為人父母的人生。
圖一:林佳昀主任(左)與何蕙余主任(右)跨科合作為化療病人保存一線「生機」。
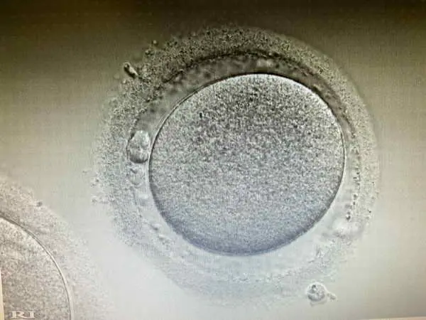
圖二:圖為成熟卵子。取得化療病人的成熟卵子以冷凍保存,未來完成化療後還保有生育希望。


